Diagnostic-Medical Ultrasounds for Women
We specialize in all aspects of Female Ultrasounds for patients of all ages.
You are going to love Picture Perfect Ultrasound ~ We can get you in the same day or schedule out for your convenience!

A Physician Order or Referral is required prior to beginning all Medical Ultrasounds
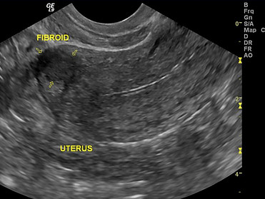
Pelvic-GYN Ultrasound
Pelvic Transabdominal (TA) and Pelvic Transvaginal (TV) Ultrasounds are both performed in our office. A Pelvic Complete does include both TA and TV but some physicians will order just one method.
Echocardiogram - Heart Ultrasound
Echocardiogram, often referred to as a "Cardiac Echo" or "Heart Ultrasound" is an evaluation of the Heart anatomy to include Heart valves, chambers of the heart, blood flow and overall contractility all of which are important to see to assess heart health. More INFO >>>>
OB Pregnancy Ultrasound (Second & Third Trimesters)
Obstetric ultrasound second trimester begins starting from 14 weeks pregnant to about 28 weeks. Third trimester is 28 weeks to term. Most diagnostic ultrasounds are performed between 19-22 weeks for overall anatomy and survey; however subsequent ultrasounds may be ordered after that based upon your growth and condition.
Abdomen Ultrasound
Abdomen Ultrasound includes evaluation of the liver, gallbladder, kidneys, pancreas, spleen, bile ducts and surrounding anatomy. These type of ultrasounds are fasting exams which means you cannot eat for 8 hours prior to appointment.
More Info >>>
OB Pregnancy Ultrasound (First Trimester)
We perform first trimester ultrasounds from 6 to 14 weeks pregnant. Depending on how far along you are, your ultrasound will be performed vaginally for earlier pregnancies and then on top of your belly later.
Thyroid Ultrasound
Thyroid Ultrasound is evaluating the thyroid gland that lies in the lower middle of your neck. There is a right, middle and left gland component that will be seen.
BioPhysical Profile Ultrasound
Biophysical Profile or Fetal Wellbeing assessments are ultrasounds that evaluate your baby for breathing, fetal movement and fetal tone, fetal position, amniotic fluid volume, placenta location and sometimes includes cord doppler. More INFO>>>
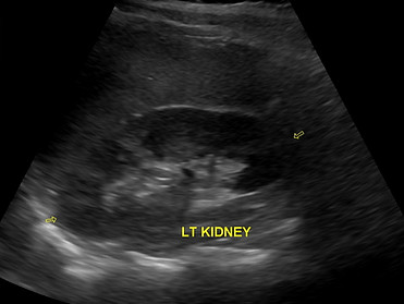
Kidney Ultrasound
Kidney or Renal Ultrasound specifically looks at the anatomy, size and details of the kidney
Bladder Ultrasound
Bladder ultrasound is done with a full bladder to evaluate the walls and volume of the bladder. After voiding, the bladder is reassessed to see if there is any postvoid residual. More INFO>>>
Vein Ultrasound (Venous Doppler)
Venous or Vein Doppler Ultrasounds evaluate the blood vessels (veins) that brings blood from a extremity back to the heart. These are done to rule out blood clots, varicose veins or other issues with circulation. We perform Venous on arms and legs.
Carotid Artery Ultrasound
Carotid Ultrasound or Carotid Duplex evaluates the blood vessels that carry blood from your heart up to your brain, tongue, face, eyes etc. These arteries are primary vessels and are located in your neck.
Artery Ultrasound (Extremity)
Arterial Ultrasounds are to evaluate the blood vessel (artery) that carries blood from your aorta to your arms or legs. This test helps rule out plaque, stenosis or narrowing that occurs in the artery itself that might limit blood supply to that limb.
More INFO>>>
Abdominal Doppler Ultrasound
Abdominal Doppler Ultrasounds are done for a variety of reasons. Evaluating blood flow in the liver, kidneys or aorta. Transplanted organs or TIPS surveillance are also done under this category..
Hernia Ultrasound
Hernia Ultrasounds can be performed in the groin, pubic area and around the umbilicus (belly button).
Soft Tissue Ultrasound (Extremity)
Soft Tissue ultrasound evaluates the fat, muscle, tendon areas of a particular area to evaluate for palpable lump, masses, injury/trauma, post-op complications etc. (pictured is a bakers cyst by the knee) More INFO>>>
Aorta Ultrasound
Aorta Ultrasounds help rule out AAA or abdominal aortic aneurysms which are a widening or ballooning of the artery in the belly know as a the aorta.
More INFO>>>
Lymph Nodes Ultrasound
Lymph nodes can be evaluated with ultrasound in the neck, arm pit (axillary area) and also in the groin.
Fertility- Follicular Ultrasound
​
Fertility patients often receive follicular ultrasounds which assess how many follicles or potential eggs that might form on an ovary while under IVF or fertility treatment. These ultrasounds evaluate the uterus and both ovaries. More INFO>>>


All Ultrasounds offered at Picture Perfect Ultrasound are performed by Ultrasound Specialists (Sonographers) that are ARDMS or Cardiac RCIS/RCS credentialed/registered.
We do not Perform Breast Ultrasound as we feel those patients are best served in dedicated Breast Imaging Center.

















